Common Orthopedic Conditions by Age Group
Orthopedic problems can affect anyone — from toddlers to seniors. However, the type of bone and joint conditions often varies depending on age, activity level, and overall health. Understanding these differences helps with early diagnosis, proper treatment, and prevention.
Below is a breakdown of the most common orthopedic conditions by age group.
- 1. Clubfoot A congenital condition where a baby’s foot is twisted inward. Early treatment (usually casting) is very effective.
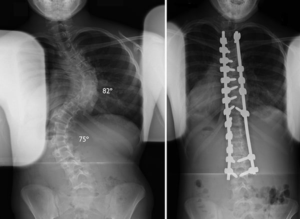
- 2. Scoliosis A sideways curvature of the spine that often develops during growth spurts.
- 3. Bow Legs & Knock Knees Common in toddlers. Most cases correct naturally, but severe cases may need medical monitoring.
- 4. Growth Plate Fractures Children’s bones are still developing, making growth plates vulnerable to injury.
Why it happens: Rapid bone growth, developmental changes, and high physical activity.
- 1. ACL Injuries Common in young athletes, especially in high-impact sports.
- 2. Stress Fractures Caused by repetitive sports activity.
- 3. Shoulder Dislocations Frequent in contact sports.
- 4. Osgood-Schlatter Disease Painful swelling below the knee due to growth spurts and sports strain.
Why it happens: Sports participation, hormonal growth changes, and intense physical activity.
- 1. Herniated Disc Often caused by heavy lifting or prolonged sitting.
- 2. Rotator Cuff Injuries Common in gym-goers and manual workers.
- 3. Shoulder Dislocations Frequent in office workers due to repetitive wrist movements.
- 4. Meniscus Tears Often sports-related or due to twisting injuries.
Why it happens: Lifestyle habits, work posture, sports, and repetitive strain.
- 1. Osteoarthritis Gradual wear-and-tear of joint cartilage — commonly affects knees and hips.
- 2. Frozen Shoulder Pain and stiffness that restrict shoulder movement.
- 3. Plantar Fasciitis Heel pain caused by inflammation of foot tissue.
- 4. Tennis Elbow Overuse injury affecting the elbow tendons.
Why it happens: Aging joints, reduced cartilage, repetitive strain, and weight gain.
- 1. Hip Fractures Often due to falls and weak bones.
- 2. Severe Osteoarthritis May require joint replacement surgery.
- 3. Osteoporosis Weak, brittle bones that fracture easily.
- 4. Spinal Stenosis Narrowing of the spinal canal causing nerve compression.
Why it happens: Bone density loss, reduced balance, muscle weakness, and aging.
Seek medical attention if you experience:
- Persistent joint pain
- Swelling or stiffness
- Difficulty walking or moving
- Deformity after injury
Early diagnosis can prevent complications and improve recovery.
How to Prevent Orthopedic Problems at Any Age
- Maintain a healthy weight
- Exercise regularly
- Eat calcium and vitamin D–rich foods
- Avoid repetitive strain without rest
- Use protective gear during sports